
歯がグラグラする
徳島県で歯のお悩みを抱えている方へ
それは歯周病や噛み合わせのサインかもしれません。歯がグラグラする、噛むと痛い、歯ぐきから血や膿が出るなどのようなお悩みはありませんか?
「そんなに痛くないから、まだ大丈夫だろう」「歳のせいだから仕方ない」
そのように思って放置してしまう方は少なくありません。しかし、歯がグラつく症状は、歯周病や噛み合わせの問題が進行しているサインであることが多く、早期に対処することで、歯を残せる可能性が高まることがあります。
徳島県の和田歯科医院では、CT・マイクロスコープ・サージカルガイドなどを活用した診断により、歯の動揺の原因を丁寧に調べ、可能な限り歯を残す治療をご提案しています。
このような症状はありませんか?
「痛みが強くないから大丈夫」と思いがちですが、以下のような小さな変化が続く場合は、早めに状態を確認することでトラブルの進行を抑えられる場合があります。
痛みはないけれど、なんとなく揺れている気がする
→ 炎症や噛み合わせの負担が影響していることがあります。歯ぐきが腫れることが増えた
→ 繰り返す腫れは、歯周病などのサインである可能性があります。朝起きると血が付いている
→ 就寝中の歯ぎしりや清掃不足、歯ぐきの炎症が関係している場合があります。噛むと違和感がある・片側で噛む癖がある
→ 噛み合わせの変化が、歯への負担として現れることがあります。
これらの症状は一つひとつは小さくても、気づかないうちに蓄積し、歯を支える組織へ影響するケースがあります。
「気のせいかな?」と思った段階で受診する方が、結果的に負担の少ない治療につながることもあります。
歯がグラグラする主な原因

歯周病(最も多い原因)
歯周病は、歯を支える骨(歯槽骨)が少しずつ失われていく病気です。自覚症状が出にくく、気づいた時には歯が大きく揺れていることもあります。進行すると、歯ぐきの腫れ・膿・口臭、さらには歯の自然脱落につながる場合があります。

噛み合わせの問題・歯ぎしり(咬合性外傷)
歯ぎしり・噛みしめの癖がある場合、歯に過剰な力がかかり続けることで、骨が吸収し、歯がぐらつく原因になります。
特に歯周病が同時に存在する場合は、動揺が急激に進行することもあります。

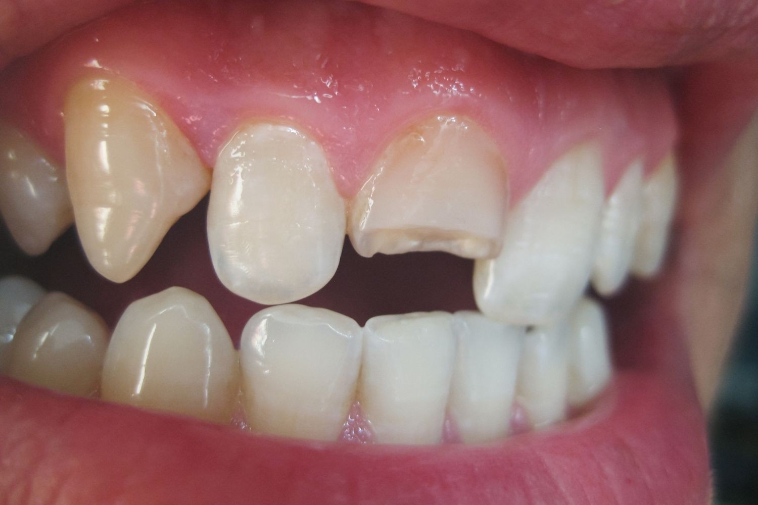
歯根破折(歯が割れている)
神経を抜いた歯や以前治療した歯は、強度が弱くなっています。噛む力に耐えられず、歯の根が割れ(歯根破折)が起きると、強いグラつきや痛みにつながります。

加齢による骨の変化
加齢とともに、骨の量が減ると歯が揺れやすくなります。ただし、「歳だから仕方ない」わけではありません。適切なケアを続ければ、歯を長く残すことは可能です。

全身疾患・生活習慣
お口の中だけでなく全身の状態や生活習慣が関係することがあります。たとえば、糖尿病は歯周病の進行に影響を与えることがあり、適切に管理されていない場合は歯ぐきの炎症が悪化しやすくなります。喫煙も血流が低下しやすく、歯周組織の回復を妨げる要因のひとつとされています。

合わない補綴物
入れ歯や被せ物、ブリッジが現在のお口の状態に合わなくなっている場合、特定の歯に過度な力が集中し、歯の揺れにつながることがあります。噛み合わせの変化や経年劣化によって補綴物がわずかにずれたり、高さが合わなくなったりすると、支えている歯に負担がかかりやすくなるため注意が必要です。
放置するとどんなリスクがあるのか?
歯を支える骨がどんどん溶ける
一度失われた骨は自然には戻りません。重度になると抜歯が必要になります。噛み合わせが崩れ、他の歯も悪くなる
1本の歯が揺れると、周囲の歯に負担がかかり、全体的な噛み合わせのバランスが乱れてしまいます。インプラントができないほど骨が失われる
骨が痩せすぎると、インプラント治療には骨造成が必要になる場合があります。生活の質(QOL)が低下
食事がしにくい、見た目が悪くなる、発音がしにくいなど、日常生活への影響は非常に大きくなります。
徳島県で歯のグラつきにお悩みの方へ 歯がグラつく場合の
治療方法


- 01
基本治療
歯石除去、歯周ポケットのクリーニング、プラークコントロール指導
これらによって炎症をおさえ、歯ぐきの状態を改善します。 - 02
再生療法(必要に応じて)
骨が一部失われている場合、適応症であれば
歯周組織再生療法によって骨の回復を図ることも可能です。 - 03
噛み合わせ治療
過度な力がかかっている場合は、噛み合わせ調整やマウスピースを用いて力をコントロールします。
- 04
生活習慣の改善
禁煙やブラッシング方法の見直しなど、継続的なケアが歯を守るうえで非常に重要です。
抜歯が必要となるケース
症状が次のような状態まで進行している場合、残念ながら抜歯が必要となることがあります。
重度の歯周病で歯がほとんど支えられていない
歯根破折(歯の根が割れている)
動揺度が大きく、保存が難しい
患者様のご希望に沿った治療をご提案します。
歯を失った後の治療方法
失った歯を補う方法は主に3つあります。

インプラント
隣の歯を削らずに治療でき、噛む感覚が自然に近いと感じられる場合があります。固定式で取り外しの必要がなく、骨への刺激が伝わりやすい点も特徴です。ただし、外科処置が必要で治療期間が長くなることがあり、費用も自己負担となります。

入れ歯
入れ歯は削る量が比較的少なく、保険適用で選択できる場合がある治療法です。一方で、外れやすさや噛みにくさを感じることがあり、部分入れ歯では金属のバネをかける歯に負担がかかる場合があります。

ブリッジ
ブリッジは固定式のため、装着後に馴染みやすい点が特徴です。ただし、支えにする両隣の歯を削る必要があり、その歯に負担がかかりやすくなることがあります。また、使用期間はお口の状態やケアによって左右されます。

徳島県で歯のグラつきにお悩みの方へ 歯がグラグラすると感じたら、
早めの受診を
歯が揺れているように感じたとき、それはお口からの小さなサインである場合があります。揺れの原因はさまざまで、歯周病による歯ぐきの炎症・噛み合わせの負担・食いしばり・外傷・むし歯の進行など複数の要因が絡んでいる可能性があります。
歯は一度失うと元の状態に戻すことが難しいため、早めの診査・相談がとても重要です。早期に状況を把握し、適切なケアを行うことで、歯を守れる可能性につながることもあります。