

当院では、できる限り自然の歯を残すことを大切にし、インプラント治療が必要でない場合には、他の治療方法もご提案いたします。
他院でのインプラント治療の提案についてご不安やご質問がある場合は、当院のカウンセリングを受けていただき、一緒に適した治療法を考えていきましょう。
患者様一人ひとりの状態を丁寧に把握し、外科的処置の必要性を慎重に判断いたします。
お車でお越しの方は、国道12号線と228号線の交差点から撫養街道を東へ進むと、右手に当院がございます。敷地内には15台分の無料駐車場を完備しております。

インプラント治療に携わって25年以上。徳島県内はもちろん、遠方からもご来院いただき、これまでの豊富な症例を通じて得た知識と経験を活かし、患者様一人ひとりの状態に合わせた治療計画の立案に努めています。初めての方にもわかりやすく丁寧に説明し、ご納得いただいた方にのみ、インプラント治療を行います。

サイナスリフトなどの高度な外科的処置にも対応しています。骨量が少ないとされるケースや他院で治療が難しいといわれたケースでも、可能な範囲で適切な治療方法をご提案いたします。状態をしっかりと診査・診断し、無理のない治療計画を立てることを大切にしています。

院内に歯科技工士が常駐するラボを併設している数少ない歯医者です。院内で人工歯の製作や調整を行える環境で、外部に依頼する時間を省けるため、スピーディな仮歯製作や細やかな調整が可能です。患者様のご希望を反映しやすく、治療の効率化にもつながります。

「怖い」「緊張してしまう」という方のために、静脈内鎮静法をご用意しています。半分眠っているような、リラックスした状態で処置を受けられるため、手術に対する不安が強い方でも治療を受けやすい治療法です。※完全に眠る麻酔ではなく、意識が薄れる程度の方法です。

院内の歯科技工士との連携により、最短1日で仮歯を装着できる治療体制を整えています。急を要する場合や早期の機能回復を希望される方もご相談いただけます。インプラントの治療期間の短縮だけでなく、見た目や日常生活への負担にも配慮しています。

長期的な安定性と美しさの両立には、高品質な素材の使用が大切です。世界的に評価の高いデンツプライシロナ社製のインプラントを採用しています。品質の高いインプラントを使うことで、治療後の健康維持と快適な生活を目指せるよう努めています。

当院では、歯科医師・歯科衛生士・歯科技工士が連携し、各分野の知識を活かしながら患者様の状態に合わせたインプラント治療を行っています。複数のスタッフが関わることで、診査から治療後のケアまでを一貫してサポートできる体制を整えています。
痛みや不安に配慮した処置を最重要と考え、インプラント治療の知識・技術の研鑽を続けることはもちろん、丁寧でわかりやすいご説明を心がけています。

和田歯科医院は徳島県鳴門市にて、祖父の代から80年以上、地域に根ざした診療を続けてきました。父の代を経て2009年に私が院長を継承し、「地域の皆さまの健康に貢献したい」という想いを受け継ぎながら現在に至ります。
大学・大学院では口腔外科を専攻し、研修を通じてインプラント治療を含む外科的処置の知識と技術を磨いてきました。歯を失った方が再び食事や会話を楽しめるよう支えるためには、的確な診査・診断と丁寧な治療計画が欠かせません。当院では、骨の状態や生活背景まで踏まえたうえで、一人ひとりに適した治療提案を心がけています。
また、インプラント手術に不安を感じる方のために、静脈内鎮静法の活用や事前説明の徹底など、痛みや恐怖心への配慮にも努めています。治療後もメンテナンスを継続し、長く健康を維持できるよう支えることを大切にしています。
これからも技術の研鑽と安全性への配慮を続け、地域の皆さまに安心して通っていただける歯科医院を目指してまいります。
当院の院長は、患者様に寄り添ったインプラント治療を提供するために、多くの研鑽を積んでまいりました。
数々の資格と受賞歴がその証です。


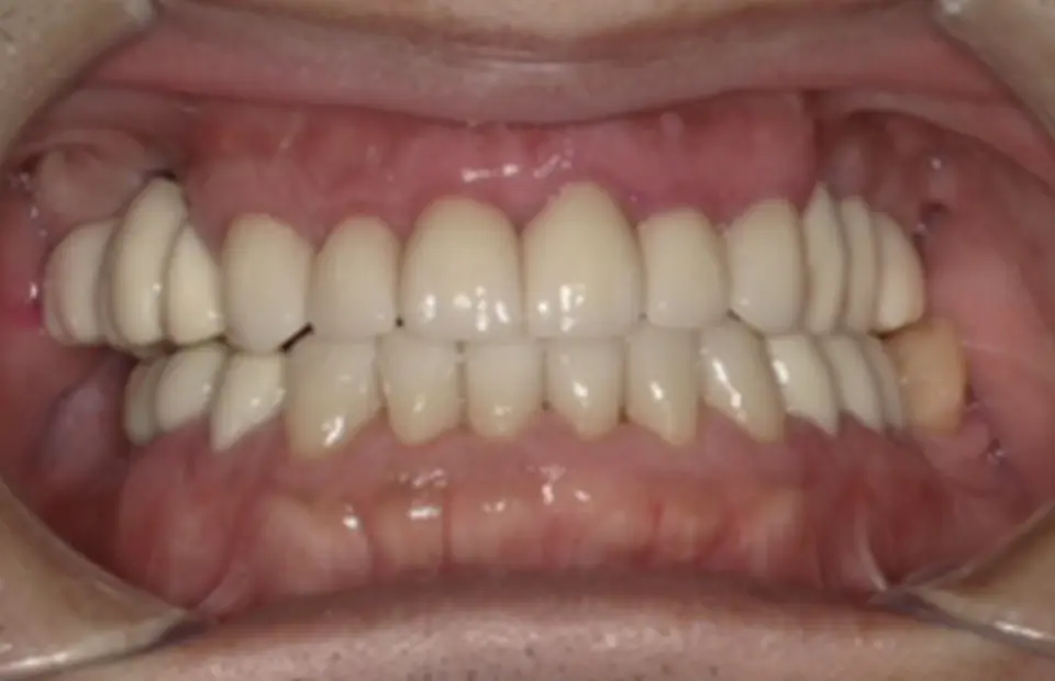
必要最小限の本数で固定するインプラント技術
1本ずつ埋入する従来法とは異なり、少ない本数でお口全体を支えます。身体的負担や治療期間、費用を抑えやすい治療法です。
骨量が少ないケースにも柔軟に対応
CTで骨の状態を確認し、傾斜埋入などを活用して無理のない治療計画を立てます。
治療負担・費用を抑えやすい
必要本数が少ない分、治療期間や費用を軽減できる可能性があります。総入れ歯でお悩みの方に適した選択肢の一つです。


| 治療内容 | インプラント治療 |
|---|---|
| 治療期間/回数 | 8カ月/14回 |
| 費用 | 478,610円 |
| リスク/副作用 | 一時的な腫れや痛み |
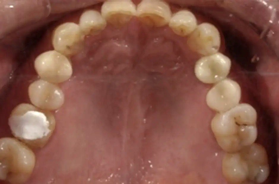
高齢の患者様がインプラント治療を希望し来院されました。1本の歯を失っていたため、インプラントを用いて噛む力と審美性を回復しました。治療により、患者様は食事の楽しみを取り戻し、自信を持って笑顔を見せるようになりました。


| 治療内容 | インプラント治療 |
|---|---|
| 治療期間/回数 | 1年8カ月/43回 |
| 費用 | 4,040,850円 |
| リスク/副作用 | 一時的な腫れや痛み、噛みづらさ |
中年の患者様が歯肉の痛みを訴えて来院されました。複雑な口腔状況でしたが、当院の専門知識と技術を活用してインプラント治療を成功させました。治療により、患者様は再び快適な食事と明確な発音を取り戻すことができました。

60歳以上の男性120人を対象に行ったアンケート調査の結果です。肩や腰、目などさまざまな体の部位について「もっと大切にしておけばよかった」という声が寄せられましたが、その中でも特に多かったのが「歯」に関する後悔でした。
全体の半数を超える64人が「歯」と回答しており、他の部位を大きく上回る結果になりました。
※円グラフは、2018年1月号にプレジデント社が行ったアンケート結果です。

もっと早く歯医者に行っておけばよかった…。
そんな思いをしている人は少なくありません。調査によると、日本人の4人に3人、実に75.7%もの人が、「もっと早い段階から歯の健診や治療を受けておけばよかった」と後悔していることがわかっています。むし歯や歯周病を放置してしまったことや、忙しさを理由に受診を先延ばしにしてしまったことを悔やむ声が多く見られます。
また、この「歯でもっと早く対策しておけばよかった」という後悔は、男性よりも女性に多い傾向があります。特に女性では、年齢を重ねるにつれてその割合が高まり、50代後半でピークを迎え、その後も高い水準のまま推移することが明らかになっています。見た目の印象や食事の楽しさ、健康意識の高まりなどから、「歯の大切さ」に気づいたときには、すでにトラブルが進行していた…というケースが少なくないのです。
これらの症状に当てはまり「インプラントは諦めるしかない」とお考えかもしれません。しかし、どうかご安心ください。
一般的な歯科医院はもちろん、高度な治療を行う専門機関でさえも、技術的な難しさや症例の複雑さから対応が難しいとされる「難症例」こそ、和田歯科医院が特に力を入れている分野です。
なぜ、他院で難しいとされたケースが当院で可能になるのか?
当院には、高度な技術が求められるインプラント治療を専門とする医師が在籍し、他院では対応が困難な高度な骨造成技術(サイナスリフト、骨・歯茎の移植など)を、豊富な実績に基づいて日常的に実施しています。
実際、当院には、専門性の高い病院でさえも治療が難しいと判断された患者様がご紹介で多くご来院されています。「入れ歯にするしかない」と決意されていた方が、再びインプラントで快適な生活を取り戻されています。
あなたのインプラント治療の可能性を、私たちともう一度探してみませんか。まずは、お気軽にご相談ください。

デンツプライシロナ社製の最新CT「Axeos」は、顎全体を高精度な3Dで撮影し、低被ばくを実現した先進機器です。神経や血管の位置を正確に把握することで、安全性の高い手術計画を可能にします。このデータをもとに、埋入位置を正確に定めるサージカルガイドを院内で迅速に作製でき、高精度なインプラント治療を実現します。

当院では、インプラント治療の精度を極限まで高めるため、歯科用マイクロスコープを導入しています。
これは、患部を肉眼の20倍以上に拡大できる顕微鏡で、精密な診断と繊細な処置を可能にします。歯科医師だけでなく、衛生士もメンテナンスに使用し、治療から長期管理まで、全てのプロセスで高品質を追求しています。

「iTero Element」は、従来の不快な型取りが不要な口腔内3Dスキャナーです。小型カメラで歯列をスキャンし、高精度のデジタルデータを取得します。このデータはインプラントの設計に利用され、正確な被せ物を作製します。スキャン後すぐに治療後のイメージをモニターで共有できるため、患者様にご理解いただきやすい治療を提供します。
インプラント治療に関してよくいただくご質問です。カテゴリー別にご質問と回答を掲載しております。
ご不明な点がございましたら、どうぞお気軽にお問い合わせください。
インプラントは歯医者によって技術や実績が大きく異なります。徳島の和田歯科医院では25年以上の経験のなか、多くの難症例にも対応してきた実績があります。
院内に歯科技工士が在籍しているため即日の治療が可能であり、外科的処置や骨造成にも対応できる点が大きな特徴です。
はい。和田歯科医院では「オールオン4」など少数本のインプラントで全体を支える治療法もご提案しています。